← Return to search results
Back to Prindle Institute

What Mitomeiosis Means for Family and Humanity

Human beings are wildly diverse. We differ in height, skin color, hair type, cultural practices, beliefs about the afterlife, and even in opinions on whether Batman could really beat Superman. Yet, despite all these differences, some things unite every one of us across history and across the globe. We all breathe air. We all need food and water. We all sleep. We are all carbon-based lifeforms. And we have all shared one biological constant: half of our genetic makeup comes from a biological mother, and half from a biological father.

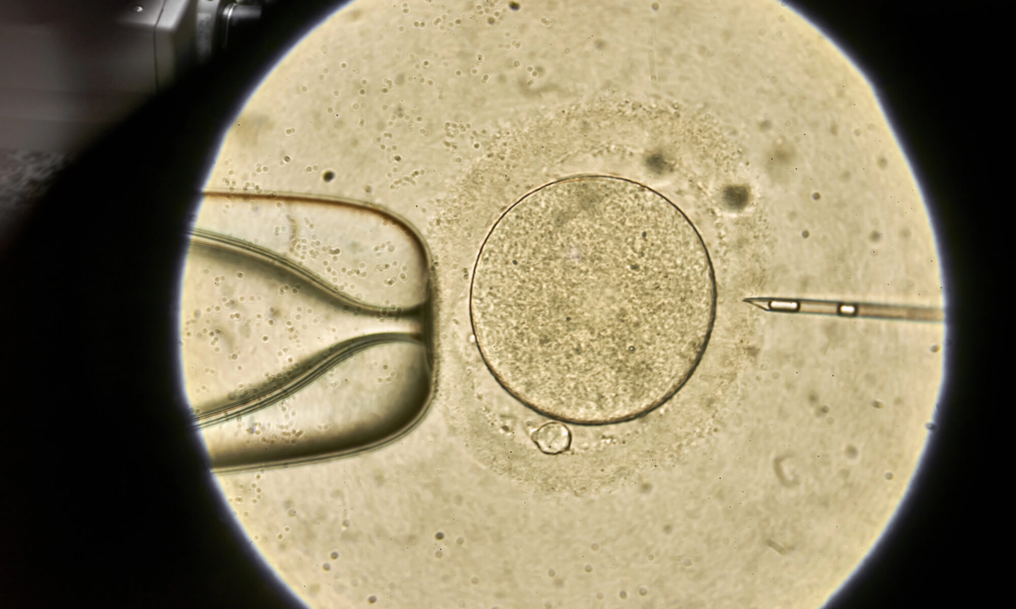
However, this seemingly universal constant — that every child must inherit genetic material from both a mother and a father via a sperm and egg — may not hold for much longer. A team at the Oregon Health and Science University may have taken the first steps toward disrupting it.

In a recent study published in Nature Communications, researchers reportedly created an early-stage human blastocyst (a cluster of cells with the potential to develop into an embryo) using sperm and a genetically modified egg. Instead of relying on the egg’s original DNA, the researchers replaced its genetic material with DNA taken from a skin cell. Although the technique is still in its infancy, if refined, it could open new possibilities for people with fertility challenges to have genetically related children. Even more striking, it might one day allow same-sex couples to have children who are biologically related to both partners.

Of course, humanity’s attempts to shape, guide, and expand our reproductive horizons is an age-old endeavor. Aristotle is thought to have suggested using cedar oil, lead ointment, or frankincense oil to prevent pregnancy. In the 18th century, Giacomo Casanova wrote about his attempts to create a cervical cap to prevent pregnancy. In the 20th century, Serge Voronoff began transplanting chimpanzee and baboon testical material into men suffering from impotence. More recently, and probably most famously, in 1978 using in virto fertilization (IVF), the world’s first “test tube” baby, Louise Brown was born. And while IVF success rates are far from 100%, since that point, more than 10 million children have been born using IVF, many to people who would have struggled to reproduce otherwise.

There are also the now-infamous actions of Jiankui He, who in 2018 shocked the world by announcing that he had overseen the genome editing, gestation, and birth of twin girls — code-named Lulu and Nana.

Despite these advances, one thing remained constant: reproduction still relied on sperm and egg, each carrying their respective genetic material. Even Louise Brown — whose birth marked a turning point in history — began life with the same genetic foundation as all of us. In that sense, humanity’s genetic continuity, what the United Nations terms “the heritage of humanity” has remained (largely) unbroken.

Yet, what the Oregon team have demonstrated, albeit at the earliest and most foundational stage, is that such a unified genetic legacy might soon be overturned.

But what exactly did they do? In simple terms, the team started by removing the nucleus from an unfertilized donor egg cell. They then took the nucleus from a skin cell and placed it into that empty egg. Next, using a process they called mitomeiosis, they triggered the egg to discard half of its genetic material. This step was crucial, because while our cells normally contain 46 chromosomes, an egg must only have 23. That way, when it combines with a sperm cell — which also carries 23 chromosomes — the resulting fertilized egg has the full set of 46 chromosomes needed for typical development. Once the egg was adjusted to the correct number of chromosomes, sperm was introduced, fertilization took place, and the process of mitosis (cell division) began.

The team did not do this just once, however. Like all good scientists, they wanted to replicate the results and identify any patterns. They conducted this process 82 times. Out of those 82 modified and fertilized eggs, 91% of them exhibited some form of abnormality. Furthermore, none of them were allowed to develop beyond six days. What this means is that there is a very high failure rate, and that given more time, even those that seemed to have developed according to an expected trajectory might develop chromosomal faults or abnormalities. So, it seems safe to say that the practice isn’t ready for widespread deployment just yet.

What’s more than this, there are a huge raft of ethical and legal barriers that would prevent implantation of a modified, fertilized egg cell just yet. For example, in the UK, which has lead the way in the field of not only reproductive medicine (it is where Louise Brown was born) but also regulation, there are explicit safeguard preventing the implantation of embryos resulting from modified eggs or sperm (specifically, Section 3 of the Human Fertilisation and Embryology Act 2008).

Nevertheless, the fact that scientists were able to do this — that they were able to create what appears to be the first tentative stages of blastocyst development, and thus life, using genetic material from a person’s skin cell — is remarkable and, for some, troubling.

As alluded to, the issue of heritage and relationships to the rest of humanity rears its head. What does it mean to relate to the rest of humanity when your genetic material, the very blueprints from which you are constructed, have a different origin story than practically everyone else alive or who has ever lived? What impacts might this have on society or our idea of family?

Such questions are not new. With Louise Brown’s birth came an avalanche of opinions and arguments. Some praising the medical breakthrough. Others decrying it as an affront to nature. One common point of comparison was Aldous Huxley’s 1934 novel Brave New World in which sexual reproduction has been outlawed; replaced by a reproduction in the lab. As the Geneticist Robert J. Berry said in an interview with TIME magazine shortly after Louise Brown’s birth “we’re on a slippery slope,” “Western society is built around the family; once you divorce sex from procreation, what happens to the family?” Similar concerns had already surfaced with the advent of modern contraception, such as the pill, though philosophers like Simone de Beauvoir in The Second Sex rejected the idea that separating sex from reproduction would destroy the family. Since then, we have seen that while the prevalence of the typical nuclear family may have fallen, in its place has come new family dynamics, be those single parents, co-parents, the extended family, the blended family, or even the childless family. What hasn’t happened, however, is the destruction of the family; merely its evolution.

I would hazard a guess that, if or when children are conceived and birthed via the mitomeiosis method, the family unit wouldn’t implode like some suggested it might with Louise Brown’s birth. But, like with Louise Brown’s birth, I think there are some legitimate questions to be asked — maybe even answered — about their relationship with the rest of humanity. In the case of Louise Brown, the defining feature was how the egg was fertilized. With mitomeiosis, the question seems to be more what has been fertilized, and from where did it come?

Children born from mitomeiosis would stand apart from the rest of humanity in a very foundational way. I guess the problem we would need to consider is whether it matters? Even if mitomeiosis-enabled reproduction does in some sense rupture humanity’s genetic continuity which has existed for countless millennia, do we care? Is it something that we should place any value on?

Human history suggests not. What matters most is not that families follow a universal genetic formula, but that they provide love, care, and belonging. Louise Brown’s birth brought hope and joy to millions who longed for children. If mitomeiosis can extend that same gift to those who are currently excluded, then perhaps the true value lies not in preserving continuity, but in creating new connections.

Blood, Birth, and Bonds: Who Counts as a Parent?

For most of us, our relationship with our parents is relatively straightforward, at least from a genealogy perspective. Your mum is the person who gestated you and from whom half of your DNA originates; your father is the source of the other half of your DNA. Now, this isn’t always the case. Some people are adopted and have no direct genetic relationship with their parents. Others are born via surrogacy, so while they may share DNA with their parents, someone other than their mother gestated them. Or, it might be that you have one parent with whom you share DNA and another that you don’t. In short, while many have an uncomplicated relationship with their parents (from a lineage perspective), there are alternatives.

This is not a trifling matter, either. The importance of personal history, the environment in which we grow, and the genetic sources of the very building blocks of our bodies fundamentally shape who we have been, who we are, who we may become, and who we are in relation to others. We typically think of owing special duties and responsibilities to those we call family, as opposed to those outside that sphere. The motivation for such a special category is debated, with reciprocity, friendship, obligation, and assumed promises all potentially forming a bedrock. Regardless of the why, the concept of family is significant. This makes it even more crucial to examine what it means to have a family, who we count as kin, and what entitles them to such a title are so vital.

The reason that I’m thinking about this now is because of two separate accidents that have recently occurred at IVF clinics, one in Israel and the other in Australia. While the clinics are worlds apart, the incidents have some shocking similarities as, in both cases, the wrong embryo was implanted into a would-be mother, resulting in them gestating and giving birth to a child that, genetically speaking, they had no relationship with.

Starting with the Israel case, as reported by The Times of Israel, in 2022, an IVF mix-up at Assuta Medical Center in Rishon Lezion led to an embryo being implanted into the wrong woman. The woman became pregnant and later gave birth to a girl named Sophia, only discovering through genetic testing that the child was not biologically related to her or her partner. Investigations revealed that the embryo had been intended for a different couple, who were eventually identified as the girl’s genetic parents. The discovery set off a legal and emotional dispute over custody between the birth parents and the biological parents. At present, the courts have ruled that Sophia should remain with her birth parents, as this would be in her best interests. However, Sophia’s genetic parents can appeal this decision and take the matter to Israel’s Supreme Court. So, at this point, the outcome of the mix-up remains uncertain.

In a strangely similar incident, as reported by the BBC, an error at an IVF clinic in Brisbane, Australia, resulted in a woman being implanted with another woman’s embryo in 2023. Gestation occurred as expected, and a child who shared no genetic relationship with its gestator was born. Unlike in the Israel incident, there are no firm details about whether the genetic parents are seeking custody of the child. While the gestating parents have sought legal counsel, it is unclear whether they will act against the clinic for what could be a severe case of negligence.

Despite being in two very different jurisdictions, it is clear that legal and regulatory questions surrounding how such accidents could have happened, what could have been done to prevent them from happening again, and what repercussions those at fault should face abound. However, I’d like to consider the more philosophical question of who can claim parenthood of the children in these and other such cases.

Looking at surrogacy cases is probably helpful as a starting point. In such cases, prospective parents employ the services of someone capable of gestating an embryo to term. In some countries, like India, this can be a service for which the gestator receives payment. In other places, while people can’t be paid for their services, they can receive reasonable expenses, such as in the UK. And in different countries, surrogacy is not only unpaid but actively prohibited, such as in France. However, clear legal frameworks usually determine parental rights and who counts as a parent in those places where it occurs. So, it might be that in the Australian and Israeli cases, we must see what the law requires and follow its lead.

Yet, there is a crucial difference between surrogacy cases and those we’re concerned about. In both the Israel and Australian cases, not only did the biological parents want a child, but so did the gestating parent. The children did not come about as the result of a transactional agreement between someone wanting a child but unable to have one and someone able to have a child but not wanting one. Instead, both mix-up cases concern individuals wanting children and thus wanting a parental role. So, while the rules around surrogacy might prove helpful, I think there is a material difference between that and the cases we’re concerned about, which means such help is limited.

Who, then, counts as a parent in the embryo mix-up cases?  What’s (more) important: gestation, genetics, or care? Is there a hierarchy of lineage linkage in which one of these factors trumps another? Or does Sophia and the unnamed Australian child have four parents, all of whom have equal rights to the parent title? After all, they all wanted to be parents from the start.

Sadly, I don’t have an answer to this question. As noted, the Israeli court has decided that the gestating parents should hold custody of Sophia. But this was on appeal. The Court of First Instance ruled that the genetic parents should take custody. And if the courts can come to contrary rulings, I feel justified in admitting I don’t have an answer. But, as a tentative conclusion, I’m tempted to agree with the courts and say that the person who not only gestates but has also been caring for Sophia for the past two years should retain custody. Yet, I can’t help but return to a quote by one of Sophia’s genetic parents: “Not only are mistakes and injustices not corrected, but they are sanctioned and perpetuated under the cover of the state.” It seems, then, that all involved are victims of circumstance. From what we know, none deserve to be in this situation, and, unfortunately, it does seem that regardless of who ends up being Sophia’s parents, someone will lose out.

IVF and the Embryo’s Relationship to Human Life

image of in vitro fertilization

On Wednesday, June 12th, members of the Southern Baptist Church (SBC) attending their annual convention voted express opposition towards in vitro fertilization, or IVF. This is a series of procedures aimed to cause pregnancy for couples or individuals experiencing difficulties with fertility. The final steps of the process involve fertilizing egg cells in a lab, then implanting resulting embryos to result in pregnancy. Both because embryos may fail to implant, and because couples may hope to have multiple children through IVF, clinics produce multiple embryos. Those that go unused are either frozen or destroyed. The U.S. Department of Health and Human Services (HHS) estimates that there are 600,000 frozen embryos in the U.S., while the National Embryo Donation Center puts this figure at 1.5 million. (It is comparatively more difficult to attain figures on how many embryos are destroyed.)

It is worth looking at precisely what the attendees of the convention resolved. According to the organization’s summary of the meeting, attendees, given that IVF involves the creation, storage and destruction of embryos that will not be born, endorsed:

That the messengers to the Southern Baptist convention… call on Southern Baptists to reaffirm the unconditional value and right to life of every human being, including those in an embryonic stage, and to only utilize reproductive technologies consistent with that affirmation especially in the number of embryos generated in the IVF.

Further, they call on Southern Baptists “to advocate for the government to restrain actions inconsistent with the dignity and value of every human being, which necessarily includes frozen embryonic human beings,” and “promote adoption as one way… [for couples] to grow their families and [ask prospective adoptive parents] to consider adopting frozen embryos.”

Why propose this resolution now? It seems to make explicit what was previously just implied. In February, the Alabama Supreme Court ruled that, according to state law, the fertilized embryos created from IVF are children. Following the ruling, three IVF clinics in Alabama suspended operations, prompting state lawmakers to craft legislation granting civil and criminal immunity to those involved in providing IVF treatment. At the Federal level, IVF has become a political football. Republicans in the Senate proposed legislation that would withhold Medicaid funds from any states which pass legislation banning IVF – legislation blocked by Democrats. Instead, Democrats favor a bill which would prevent states from restricting the procedure and require insurers to cover it. Only two Republicans voted to take this later bill to the floor, causing it to fall short of the 60 votes necessary to proceed.

Some context on this issue may be illuminating. According to the Pew Research Center, 10% of women in the U.S. self-report having received fertility services. The U,S. Department of Health and Human Services reports that in 2021, 2.3% of all infants born in the U.S. (86,146) were conceived using IVF. So, restrictions on IVF stand to impact a significant number and perhaps prevent tens of thousands of births a year. Further, public sentiment is in favor of IVF. According again to Pew, 70% of subjects surveyed say access to IVF is a good thing and only 8% say it is bad. The least approving groups were white evangelical Protestants and those who self-describe as Republicans, 63% of whom approve.

Of course, the common occurrence and popular endorsement of a practice does not make it moral. Slavery, blood sports, and ritualistic sacrifices were historically common but we now condemn these as obviously wrong. So, we ought to consider the merits of the moral arguments against IVF, particularly those of the Southern Baptists.

The position advocated for by the SBCs seems to stem from a common starting point in many debates about reproduction – the idea that life begins at conception. The argument, in the context of IVF seems to go something like this: Human life begins with an embryo. The process of IVF produces embryos that are frozen indefinitely or destroyed. It is wrong to end or refuse to allow a human life to continue. Let’s call this argument the Embryo Personhood View or EPV.

This argument relies on several potentially questionable premises. For instance, one might wonder whether it is always wrong to end a human life – we may find it justified in the context of self-defense or perhaps triage. Further, the concept of human life is somewhat underexplained; perhaps what we are really concerned about are a being’s psychological capacities, not whether it is a human organism. Regardless, I think it is worthwhile to unpack the EPV in order to determine SBC’s theoretical commitments.

In particular, we should consider the statement that human life begins with an embryo. When we begin analyzing it, what it means may become less clear. Consider the fact that a plant begins with a seed. This statement tells us that a seed is necessary to get a plant but that more is required – you need a viable seed, nutritious soil, sunlight, and water.

Do the Southern Baptists believe that human life begins with an embryo in the sense that an embryo is necessary for human life? Certainly, they must believe this; you cannot have a new human life without first having an embryo. But this cannot be all that “human life begins with an embryo” means. First, many things are necessary for human life that seem to lack moral significance. Chemicals like carbon, oxygen, and hydrogen are the necessary building blocks of our bodies; yet they do not have unconditional value or rights. Second, the biological materials that produce an embryo – namely, sperm and egg cells – are also necessary for human life. Do these cells have a similar dignity and value? Are they the proper subject of government regulation?

Perhaps instead the SBC’s view is that the embryo is sufficient for human life. When thing A is sufficient for thing B, that means A is enough to cause B. Getting 100% on a test is sufficient to pass it; you will certainly pass the test with a perfect score! But it is not necessary to pass, as you could pass with a lower score. So, in this case, an embryo being sufficient for a human life means that once we have an embryo, we have a being with a right to life. While this avoids some of the strange implications of the necessity view, it is not clear that this is a defensible position, nor one that the SBC actually holds.

First, there is the matter of context. An embryo is normally sufficient, at least in some sense, to produce a living human organism. When conception occurs inside the body, and the zygote develops into an embryo, this starts a process. Unless this process is interrupted by some means, the end result will be a morally valuable human being. Of course, it’s worth noting that the process may be interrupted by natural means; the embryo may fail to implant, it may be non-viable, there may be a miscarriage, etc. However, an embryo in a lab seems importantly different in the sense that it is not currently in this process. If left to its own devices, it simply will not survive. Thus, the circumstances of a frozen embryo make it seem comparatively less plausible that it is sufficient for human life; its circumstances are abnormal for an embryo.

Second, there is a matter of consistency. Considering the view that an embryo is a person, Dustin Crummett asks us to imagine the following case: A fertility clinic catches fire. One part of the building contains hundreds of frozen eggs. A five-year-old child is trapped on the other side. Who should firefighters save first? Clearly the five-year-old. But this suggests that embryos lack the same rights and dignity as humans. Otherwise, saving the frozen eggs would seem a more compelling course of action. In fact, it should be an obvious choice; there are literally hundreds of embryos, so if their lives are valuable, the moral reason to save them should be hundreds of times greater than the moral reason to save the five-year-old.

There is something generally puzzling about the positions staked out by the SBC when considered in totality. As noted earlier, the resolutions approved at the convention state that embryos have a right to life. They also promote adoption for couples struggling with fertility and ask them to “consider” adopting frozen embryos. Suppose embryos have a right to life. For a frozen embryo to live its life, it must be implanted into a person and develop in utero. Compare this to an already living child in the adoption system. Certainly, it would be better for a child in this position to be adopted into a loving family, but they will still survive if not. We cannot say this for a frozen embryo. Thus, it seems that the SBC should be imploring members of its Church to attempt to adopt frozen embryos. To merely ask them to consider this option suggests that their actual view of an embryo’s moral standing is less than what the resolutions explicitly claim.

Ultimately, the SBC’s position on IVF has to overcome some challenges. If they think life beginning with an embryo means an embryo is necessary for human life, then either their position is trivial or it goes too far. Yet, they may instead mean that embryos are sufficient for human life. Yet in the context of IVF, this claim is dubious. Further, this claim seems at odds with other positions that the SBC posits in their resolutions.

Views we posit in debates about reproductive rights have far-reaching implications. We often make claims about what rights we have over our own bodies, when we may permissibly end another life, and what precisely it is that makes a living organism worthy of moral consideration. As a result, it is always advisable to think carefully about what your views imply in other contexts, lest you commit yourself to a position you do not actually accept.

Commodification and Exploitation in Egg Donation

image of ovarian follicles

Egg donation is a form of assisted reproductive technology (ART) in which a woman donates eggs to equip another woman to conceive a child. The process of egg donation usually involves in vitro fertilization technology, as the eggs undergo fertilization in a laboratory, or alternatively, the unfertilized egg can be frozen and stored to be used at a later time. Regulated according to guidelines set by the American Society for Reproductive Medicine, this form of ART has gained momentum in the US and around the world since the first child was born from egg donation in Australia in 1983. In the US today, egg donation accounts for about 18% of IVF births.

While the allowance of compensation for egg donors varies by the country, egg donors in the US are compensated up to $8,000 on average for the retrieval of eggs. While egg donation is a sought-after fix for those unable to conceive and stands to provide real benefits to donors and recipients alike, this form of IVF can be a sensitive subject as it raises a number of medical ethics questions.

A common concern raised by medical ethicists regarding egg donation is the type of consent obtained in the process of donating eggs. Although most donor recruiting agencies cite altruism and reliability as the most desirable qualities in a donor, the incentive of monetary compensation could hinder a donor’s capacity to make coherent and informed decisions. Studies have shown that donors motivated by financial incentives suffer more emotional trauma from the process and have a higher probability of regretting their decision than women who express altruistic motivations. In part to avoid risking the commodification of motherhood, nations such as the UK and Australia have ruled any form of monetary compensation to the egg donor to be illegal.

However, Lori Andrews (1992) notes that more often than not, “when society suggests that a certain activity should be done for altruism rather than money, it is generally a woman’s activity.” In agreement with Andrews, sociologist Anna Curtis argues, in her 2010 article Giving ‘Til It Hurts: Egg Donation and the Costs of Altruism, that women should be sufficiently compensated if egg donation is to remain legal in the US, due to the health risks the procedure poses, the emotional strain a donor is subjected to by donating an egg, and the time spent going through and recovering from the procedure.

Due to the technical and invasive nature of egg donation, donors may lack a complete understanding of all the potential short-term as well as long-term risks associated with donating eggs. Curtis also argues that the donors’ emotional investment can cause them to downplay the risks of the procedure. Curtis’ research suggests that not only did donors experience joy over a successful donation, but they also felt guilty when the procedure failed. When Curtis questioned donors regarding their knowledge of health risks associated with egg donation, she found that the women claimed to give “little or no thought to the possible short- or long-term risks involved in donating, despite their ability to list many of these very risks,” demonstrating that even if the donors are aware of the risks, they may not seriously consider the likelihood of these risks affecting them in the future, possibly because of their emotional investment in the egg donation process.

Furthermore, egg donation is a costly process — not only in terms of the emotional and physical strain put on the donor, but also in terms of the financial expenses for the recipient. The inequality of access to ART means that reproductive technology is a viable option exclusively to the wealthy. The feasibility of egg donation must therefore be analyzed recognizing that there may be a large demographic of infertile individuals who would choose ART to conceive a child had they the financial means, but are not able to so due to the high cost of reproductive technology.

The eugenic commodification of egg donors is an additional ethical concern regarding egg donation. Advertisements directed towards egg donors usually depict specific racial, physical, and intellectual characteristics as desirable, making it clear that the agencies are recruiting a certain type of woman whether it be based on ethnicity, height, or even scores obtained on standardized tests. This emphasis on eugenics perpetuates the commodification and exploitation of women’s bodies, reducing the female body to a product with reproductive value.

With these ethical concerns in mind, infertility specialists, agencies that recruit egg donors, as well as recipients of the donated egg must consider the multifaceted implications of egg donation when assessing regulations regarding egg donation. By doing so, individuals and agencies alike can make equitable and informed decisions concerning the emotional, physical, and monetary costs of egg donation to both the donors and the recipients.

Surrogacy in New York

photograph of pregnant torso

There are many ways to make a family. The intimate bonds of commitment and affection that make a family unit are grounded in a wide variety of ways: in biological relation, in choice, in shared experience, etc. Family bonds across generations are manifested between parent and child, but even these bonds vary in how they are grounded. Societies and our medical technology has developed in ways to support the variety of ways that parents can have children – currently there are ways to have a child through adoption, in vitro fertilization, and surrogacy, and advancements are being made in artificial wombs that would open up further methods of bringing children into the world. The diversity of methods for having children benefit potential parents for whom cis-hetero fertilization is not possible or desirable. Single parents, LGBT couples, and cis-hetero couples with fertility concerns are all aided by this variety of methods. 

So, the medical technologies and social policies that support individuals’ decisions to become parents, and thereby positively respect autonomy of these people. However, as with many developments and advancements that can be costly, there are justice considerations that arise: who is benefitting from the development, and who is placed at risk? Gestational surrogacy has recently been debated along these lines, for while the opportunity to have a child via surrogate benefits many potential parents, the risk and burden of gestation is adopted by someone else. To be a surrogate, a person agrees to take on the responsibilities of pregnancy and gestation for a potential parent with the understanding that parental rights and responsibilities after the birth of the child will belong to the person seeking the surrogate, not the person who gestates the child. The morality of compensating someone to take on this burden with their time and body raises questions for feminists and economic ethicists alike. 

Recently, New York State failed to pass a bill that would make compensated gestational surrogacy legal. Currently, in New York, only altruistic surrogacy is legal and surrogacy contracts are unenforceable. Surrogates cannot receive a fee or compensation, and the success of the arrangement is due solely to the integrity of the parties involved. 

New York is one of two states that currently ban compensated gestational surrogacy outright. In 1992, a gestational surrogate in New Jersey sued to keep parental rights over her biological child. In the wake of that suit, New Jersey, Michigan and New York passed bills banning gestational surrogacy. New Jersey reversed the ban last year, leaving New York and Michigan remaining. (Though it is important to note the variety of restrictions and protections that exist across America, sometimes at the county-by-county level.) 

However, the proposed bill — allowing gestational surrogates to be compensated for bearing a child without intending to bear the rights and responsibilities of parenthood — did not succeed during this legislative session. Democratic representatives were concerned that compensated surrogacy presents a slippery slope to commodifying women’s bodies and the bill did not garner sufficient support. “We must ensure that the health and welfare of women who enter into these arrangements are protected, and that reproductive surrogacy does not become commercialized,” said Assembly Speaker Carl Heastie.

Some feminists, such as Gloria Steinem, have been vocal opponents of gestational surrogacy. These opponents are concerned about the exploitation of people from marginalized and vulnerable groups and putting the bodies of individuals from such group to use for gestation. The monetary incentive to put one’s body through pregnancy presses on the economically vulnerable in an unjust way, they claim, and their case is strengthened by the state of surrogacy in Cambodia, Thailand, and India. In India, for example, some surrogates are forced to live in special homes and have no health insurance beyond the pregnancy, and no guarantee of payment.

Other feminists, as well as infertility advocates and LGBT groups, have been advocating in favor of changing the New York law. Governor Cuomo criticized the failure of support behind the bill, emphasizing the protections for the surrogates included that were meant to safeguard against exploitation. With all of these safeguards, Cuomo questioned how much the lawmakers were respecting the autonomy of those that would choose to be surrogates: “I say, how about a woman’s right to choose, which we just argued for Roe v. Wade?” Cuomo said. “But in this state we say the woman must have an attorney, the woman must have a health counselor, the transaction will be supervised under the Department of Health, the woman can’t be in dire economic conditions, but you still believe the woman is not competent to make that decision.” 

Thus the division between protecting vulnerable groups (economically disadvantaged and individuals with uteruses) and advocating for individuals to be able to take on risks consensually came down in favor of protection in New York this month. Both sides emphasized that this will be an ongoing conversation.